본문 바로가기
BEYOND KOREA to the World
BK Dental Clinic
ENG
KR
EN
RU
CN
JP
TH
VI
CN
KR
EN
RU
CN
JP
TH
VI
주메뉴 열기
주메뉴
无法隐藏的自信
为了最好的治疗,
BK将不断努力。
BK牙科
牙科介绍
医疗人员介绍
医疗设备介绍
BK Interior
诊疗时间指南
位置信息
种植牙
全颚种植牙
One-day种植牙
门牙种植
种植牙假牙
骨移植种植牙
唯美的
牙齿美容修复
牙龈整形美容修复
牙齿美白美容修复
矫正
儿童矫正
成人矫正
Invisalign透明矫正
假体矫正
普通诊疗
神经治疗&王冠
拔智齿
颚关节治疗
肉毒
Before & After
预约咨询
주메뉴 닫기
Before&After
Before & After 카테고리
All
열린 분류
Implants
Aesthetic
Orthodontics
BEFORE
AFTER
전악 임플란트
BEFORE
AFTER
임플란트 틀니
BEFORE
AFTER
임플란트 틀니
BEFORE
AFTER
원데이 앞니 임플란트
BEFORE
AFTER
임플란트 틀니
BEFORE
AFTER
전악 임플란트
BEFORE
AFTER
전악보철
BEFORE
AFTER
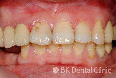
사랑니 이식하여 임플란트 안하기
BEFORE
AFTER
임플란트 틀니
BEFORE
AFTER
임플란트 틀니
BEFORE
AFTER
전악 임플란트
BEFORE
AFTER
하악 앞니 원데이 임플란트
BEFORE
AFTER
전악 임플란트
BEFORE
AFTER
임플란트 틀니
BEFORE
AFTER
잇몸이식 앞니 임플란트
BEFORE
AFTER
광범위한 상악동 골이식 (클릭하시면 엑스레이 사진을 볼수 있습니다.)
처음
1
페이지
2
페이지
3
페이지
열린
4
페이지
5
페이지
맨끝
검색
검색대상
제목
내용
제목+내용
글쓴이
글쓴이(코)
검색어
필수
검색
닫기