본문 바로가기
BEYOND KOREA to the World
BK Dental Clinic
ENG
KR
EN
RU
CN
JP
TH
VI
CN
KR
EN
RU
CN
JP
TH
VI
주메뉴 열기
주메뉴
无法隐藏的自信
为了最好的治疗,
BK将不断努力。
BK牙科
牙科介绍
医疗人员介绍
医疗设备介绍
BK Interior
诊疗时间指南
位置信息
种植牙
全颚种植牙
One-day种植牙
门牙种植
种植牙假牙
骨移植种植牙
唯美的
牙齿美容修复
牙龈整形美容修复
牙齿美白美容修复
矫正
儿童矫正
成人矫正
Invisalign透明矫正
假体矫正
普通诊疗
神经治疗&王冠
拔智齿
颚关节治疗
肉毒
Before & After
预约咨询
주메뉴 닫기
Before&After
Before & After 카테고리
All
Implants
Aesthetic
Orthodontics
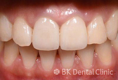
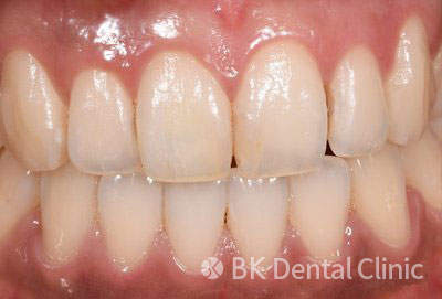
BEFORE
AFTER
뺄치아 살린 앞니 심미보철
BEFORE
AFTER
부분틀니
BEFORE
AFTER
타치과에서 발치 권유 10년째 심미적으로 사용중
BEFORE
AFTER
올세라믹 앞니 보철
BEFORE
AFTER
라미네이트
BEFORE
AFTER
원데이 치아미백
BEFORE
AFTER
라미네이트
BEFORE
AFTER
라미네이트 잇몸 성형
BEFORE
AFTER
올세라믹 앞니 보철
BEFORE
AFTER
기존 보철물 교체
BEFORE
AFTER
라미네이트
BEFORE
AFTER
전악 임플란트
BEFORE
AFTER
기존 보철물 교체 및 라미네이트
BEFORE
AFTER
하악 앞니 원데이 임플란트
BEFORE
AFTER
전악 임플란트
BEFORE
AFTER
하악 앞니 보철
처음
1
페이지
2
페이지
3
페이지
4
페이지
5
페이지
6
페이지
7
페이지
8
페이지
열린
9
페이지
10
페이지
맨끝
검색
검색대상
제목
내용
제목+내용
글쓴이
글쓴이(코)
검색어
필수
검색
닫기